【一般情况】女,24岁,一月前因腰痛外院查CT发现肝占位,为进一步诊治收入我院。无皮肤黄染、恶心、呕吐等自觉症状,二便正常,体重无明显变化。
【既往史】否认结核、肝炎等传染病史。否认手术、外伤史。无性生活史。
【月经史及婚育史】12岁初潮,7天/23-28天。未婚未育。
【实验室检查】AFP、NSE、SCC、HCG正常;CA199略升高。
【超声检查】








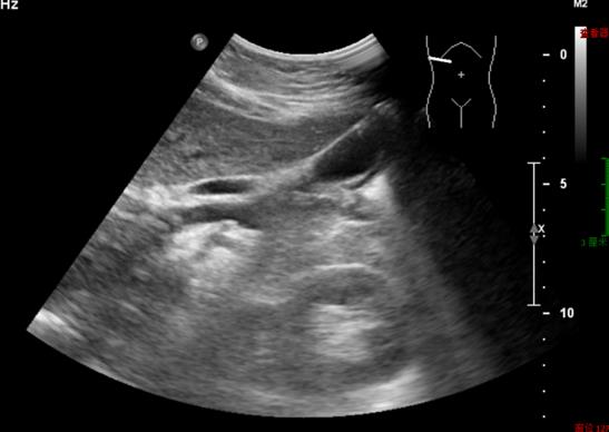
【超声提示】肝右叶见巨大不均质肿物,约18.1x11.6cm,界尚清,内回声不均,见5.6x5.5cm低回声区,可见厚壁,内见粗大光点回声,肿瘤周边可见细小光点回声,肿物下部见不规则低回声区,局部挤压右肾,未见血流信号。
诊断:肝右叶巨大肿物,可符合畸胎瘤











【MR提示】肝右叶巨大肿物,边界清楚,最大截面13.0x10.0cm,LAVA-FLEXwater相、fat相可见肿瘤内脂肪信号,T2WI/FS呈高低混杂信号,可见多发分隔,DWI呈高低混杂信号,增强扫描未见明显强化,分隔轻度强化,肿瘤对肝脏血管呈推压改变,向下推压右肾,其内下界与右肾动静脉贴邻。
结论:肝右叶巨大肿物,考虑为畸胎瘤
【术中所见】肿瘤位于右上腹,向左上方推压肝脏,大小约18x14x8cm,分叶状,与大网膜、胆囊、胃窦、十二指肠、肾周脂肪囊、下腔静脉、右肾上腺广泛粘连。肝、脾未见异常。无腹水,腹腔、盆腔未发现结节。
【病理结果】
肉眼所见:
(1)肿物一个,大小20x15x13cm,囊实性,壁菲薄,厚0.1cm,剪开囊壁,内含油脂样物及毛发,内壁局灶可见一结节样物,直径8cm,切面灰黄,脂肪样,包膜完整。
(2)膜状组织2块,总大小16x6x0.2cm,一侧面灰白光滑,部分边缘附脂肪组织,脂肪总大小6x4x3cm,部分边缘见肾上腺组织,大小4x3x0.3cm。
病理诊断:
(1)(腹膜后巨大肿物)符合腹膜后囊性畸胎瘤
(2)(与肿瘤粘连的肾脂肪囊网膜及腹膜后组织及部分肾上腺)部分肾上腺组织及纤维脂肪组织,未见肿瘤