【摘要】目的 探讨腮腺肿块检查中双源CT 虚拟平扫代替常规平扫的可行性。资料与方法 回顾性分析昆明医科大学第一附属医院行双源CT 检查并经手术病理证实的腮腺肿块35 例(38 个病灶),包括腮腺多形性腺瘤13 例,腺淋巴瘤14 例(17 个病灶), 恶性肿瘤5 例,炎症病变3 例。所有患者均进行常规平扫及双能量增强扫描。利用Liver 虚拟平扫软件处理得到动脉期虚拟平扫图像,比较常规平扫与虚拟平扫图像显示腮腺肿块能力的一致性;比较常规平扫及虚拟平扫正常腮腺组织、病灶区、颌下腺、胸锁乳突肌、下颌骨平均CT 值、信噪比(SNR)、对比噪声比(CNR)、图像质量评分、辐射剂量、有效剂量(ED)。结果 常规平扫与虚拟平扫主观图像质量评分分别为(4.34±0.80)分、(4.17±0.82)分,差异无统计学意义(P >0.05)。35 例腮腺占位患者常规平扫与虚拟平扫在下颌角层面胸锁乳突肌、颌下腺及正常腮腺的平均CT 值差异均无统计学意义(P>0.05)。常规平扫腮腺肿块及下颌骨平均CT 值与虚拟平扫差异有统计学意义(P<0.05);腮腺肿块SNR 差异有统计学意义(P<0.05);两组CNR 差异无统计学意义(P>0.05)。虚拟平扫有效剂量低于常规平扫, 差异有统计学意义(P<0.05),辐射剂量降低约38.6%。结论 常规平扫与虚拟平扫在腮腺肿块检出及诊断中具有很高的一致性,且虚拟平扫辐射剂量更小。
【关键词】腮腺肿瘤;体层摄影术,X 线计算机;图像处理,计算机辅助;辐射剂量
【Abstract】Purpose To explore the feasibility of dual source CT virtual unenhanced replacing conventional plain scan in parotid gland mass examination. Materials and Methods Thirty-five parotid gland mass (38 focus) confirmed through dual source CT and surgical operative pathology in the First Affiliated Hospital of Kunming Medical University were retrospectively analyzed, including 13 pleomorphic adenoma parotid, 14 adenolymphoma (17 focus), 5 malignant tumor and 3 inflammatory lesions. All patients received conventional plain scan and dual energy enhanced scan. Liver virtual unenhanced software was adopted to obtain virtual unenhanced image in arterial phase and concordance of parotid gland mass displayed on conventional plain scan and virtual unenhanced images was compared. Normal parotid tissue, focal area, salivary gland, thoracic paraspinal muscle, average CT value of lower jawbone, signal noise ratio noise ratio (SNR), contrast noise ratio noise ratio (CNR), image quality score, radiation dose and effective dose (ED) for conventional plain and virtual unenhanced were compared. Results Subjective image quality score for conventional plain scan and virtual unenhanced was 4.34±0.80 and 4.17±0.82, respectively; and difference between the two was of no statistical significance (P >0.05). Average CT value difference of angulus mandibulae thoracic paraspinal muscle, submandibular gland and normal parotid for 35 patients with parotid space-occupying lesions with conventional plain scan and virtual plain scan was of no statistical difference (P>0.05). The average CT value of conventional plain scan parotid mass and mandible compared with the virtual plain scan, the difference was statistically significant (P<0.05). SNR difference for parotid gland mass was of statistical significance (P<0.05). Difference of CNR between the two groups was of no statistical significance (P>0.05). ED of virtual plain scan was lower than that of conventional plain scan and the difference was of statistical significance (P<0.05). The reduced radiation dose was about 38.6%. Conclusion Conventional plain scan and virtual unenhanced are of highly concordance in examination and diagnosis of parotid gland mass and radiation dose for virtual unenhanced is less.
【Key words】Parotid neoplasms; Tomography, X-ray computed; Image processing, computer-assisted; Radiation dosage
腮腺肿块种类复杂、部分良性肿块具有恶变倾向、肿块性质仅靠临床症状及体征难以确诊,准确定性诊断有助于临床治疗方案的制订及预后的评估。目前, 多层螺旋CT 以其较高的密度分辨率及较快的扫描速度广泛应用于临床,但由于X 线的生物学效应及腮腺对放射线的敏感性,在保证图像质量的同时如何降低辐射剂量显得尤为重要[1-4]。常规多层螺旋CT 降低辐射剂量的方法主要有3 种,降低球管电压、增加螺距及降低球管电流,而双源CT 在此基础上为降低辐射剂量开辟了多种新方式,本研究旨在探讨双源CT 双能量虚拟平扫技术在腮腺肿块中能否代替常规平扫, 从而减少患者辐射剂量。
1 资料与方法
1.1 研究对象 收集2015 年9 月- 2016 年12 月于昆明医科大学第一附属医院放射科行双源CT 双能量增强扫描并经手术病理证实的35 例腮腺肿块患者(38 个病灶),包括腮腺多形性腺瘤13 例,腺淋巴瘤14 例(17 个病灶),恶性肿瘤5 例,炎症病变3 例。其中男23 例, 女12 例;年龄16~72 岁, 平均(48.66±13.65) 岁。纳入标准:无碘过敏者,怀疑腮腺占位,有完整影像学及手术、病理资料患者。所有患者检查前均签署知情同意书。
1.2 仪器与方法 采用Siemens 第二代双源炫速CT (Somatom Definition,Siemens Healthcare,Forchheim, Germany)进行常规平扫及双能量增强扫描。患者取仰卧位,头足位,扫描范围自颧弓上缘至下颌角。平扫参数:管电流250 mAs, 管电压100 kV, 准直器128×0.6 mm,螺距1.55。对比增强双能量扫描参数:A 管管电流304 mAs,管电压sn140 kV ;B 管管电流152 mAs, 管电压80 kV。开启CARE kV 及CARE Dose 4D,扫描时间9.21 s,球管旋转时间0.5 s,扫描延迟时间7 s ;A 管与B 管使用相同准直40×0.6 mm,相同螺距1.2。重组层厚1 mm,间距1 mm。对比剂采用碘普罗胺(370 mgI/ml), 剂量为1 ml/kg,生理盐水30 ml,以3.0 ml/s 经肘静脉注入,延迟15 s 进行动脉期扫描,延迟40 s 行实质期扫描。
1.3 图像后处理 将常规平扫、动脉期双能量图像按照层厚1 mm、层距1 mm、重组内核B31f 进行重组, 得到重组后常规平扫图像、80 kV 图像、140 kV 图像及80 kV 与140 kV 融合图像各一组。在MMWP 后处理工作站上,将腮腺动脉期双能量扫描生成的100 kV、140 kV 图像调入Dual Energy 软件, 选用应用程序Liver 虚拟平扫,通过调整CT 与碘对比剂的融合比例, 将CT 融合比调节至100,碘对比剂融合比调整为0, 得到虚拟平扫图像,设置窗宽(300 HU)、窗位(30 HU) 与常规平扫图像相同并保存后传输到PACS 系统。
1.4 图像评价
1.4.1 图像主观评分及诊断效能评价 由2 名影像学主治医师采用盲法在PACS 系统上对图像质量进行评价, 若有分歧请上级医师参与分析达成一致意见。图像质量评分分为5 级[5],5 分:图像质量良好,无伪影,解剖结构显示清晰,完全满足诊断要求;4 分:图像质量较好,解剖结构显示清晰,可能存在少量伪影,但完全满足诊断要求;3 分:图像质量尚可,部分解剖结构显示欠佳,基本满足诊断要求;2 分:噪声较大,解剖细节不清,不能满足诊断要求;1 分:伪影严重或图像质量差,解剖结构模糊,无法诊断。评分达到3 分及以上者能够满足诊断要求。
由2 名阅片者记录常规平扫和虚拟平扫图像所显示的病灶数量,意见不统一时共同商讨决定。计算常规平扫、虚拟平扫对病灶检出率(分别为常规平扫检出的病灶数/ 参考值、虚拟平扫检出的病灶数/ 参考值, 参考值为常规平扫和增强扫描共同检出的病灶数)。对两组平扫图像同层面腮腺肿块进行观察,观察指标主要为病灶部位(按象限划分[6])、病灶边缘(清晰及模糊)、囊变坏死情况、平扫CT 值及CT 值增幅程度、有无肿大淋巴结及淋巴结有无坏死。
1.4.2 客观评价指标 调入层厚及层间距均为1 mm 的常规平扫、虚拟平扫图像,选择同层面测量正常腮腺组织、病灶、胸锁乳突肌、颌下腺、下颌骨CT 值和噪声。CT 值为感兴趣区(ROI)的平均值,噪声为标准差。ROI 的选取应避开坏死及囊变区,ROI 大小为0.5~1.5 cm2,根据公式(1)、(2)计算腮腺肿块信噪比(SNR)、对比噪声比(CNR)。
SNR=ROI CT值/ROI 标准差 ( 1)
CNR=(腮腺占位CT 值-下颌角层面胸锁乳突肌CT 值)/ 下颌角层面胸锁乳突肌噪声 ( 2)
1.4.3 辐射剂量评估 根据35 例CT 扫描所提供的CT 容积剂量指数(CT dose index volume,CTDIvol)、剂量长度乘积(dose length product,DLP),根据公式(3) 计算有效剂量(effective dose,ED)。
ED=DLP×K ( 3)
其中K 为换算因子,头颈部为0.0021[7]。
本研究中将常规扫描模式的辐射剂量按常规平扫与双期增强辐射剂量之和,双能量扫描模式的辐射剂量为双能量双期增强扫描的辐射剂量总和。
1.5 统计学方法 采用SPSS 23.0 软件。将常规平扫与虚拟平扫图像的平均CT 值、SNR、CNR、辐射剂量、图像质量评分等行正态检验,符合正态分布者行独立 样本t 检验,非正态分布使用Mann-Whitney U 检验。 P<0.05 表示差异有统计学意义。2 结果 2.1 常规平扫与虚拟平扫CT 值比较 35 例腮腺肿块患者常规平扫与虚拟平扫下颌角层面胸锁乳突肌、颌 下腺及正常腮腺的平均CT 值差异均无统计学意义(P>0.05),腮腺肿块及下颌骨平均CT 值差异有统计学意义(P<0.05),见表1 及图1、2。


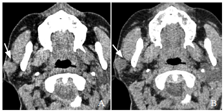
图1 男,38岁,多形性腺瘤。常规平扫示左侧腮腺类圆形占位,边界清晰,密度均匀,CT值约44.4 HU(箭,A);虚拟平扫示病灶边界清晰,密度均匀,平扫CT值约45.0 HU(箭,B)

图2 女,44岁,恶性腮腺多形性腺瘤。常规平扫(A)与虚拟平扫(B)均能清晰显示右侧腮腺肿块边界模糊,其内见小片状稍低密度灶(箭)
2.2 常规平扫与虚拟平扫图像质量比较 2.2.1 客观图像评价 虚拟平扫噪声小于常规平扫,但 差异无统计学意义(P>0.05);虚拟平扫SNR 大于常规平扫,差异有统计学意义(P<0.05),见表2。2.2.2 主观图像评价 常规平扫与虚拟平扫图像的质 量评分差异无统计学意义(P>0.05),见表3。虚拟平扫与常规平扫对腮腺肿块数量、形态、边缘、坏死囊变及钙化显示情况见表4 及图1。

2.3辐射剂量比较虚拟平扫的CTDIvol、DLP、ED 均小于常规平扫,差异有统计学意义(P<0.05),因节省了一次常规平扫,辐射剂量减少约38.6%。见表5。

3讨论
腮腺为腺体组织,且80% 为浆液性腺泡,比黏液性腺泡对放射性更敏感。CT 扫描速度快、密度分辨率高、患者可接受性强,广泛运用于临床,常规降低辐射剂量的方法主要是降低管电流及管电压,但会影响图像质量。双源CT 采用2 套X 线球管和2 套探测器扫描时,覆盖整个扫描视野的探测器A 和仅限于中心更小视野的探测器B,分别采集不同步电压和电流运行的2 个球管发出、并经受检者衰减后的X 线,从而获得两组不同能量数据和一组融合数据图像,依据后处理算法区分碘剂及其他物质,对增强图像进行碘分离及去除得到虚拟平扫图像。目前,有学者对头颈部、胸、腹部等研究表明,虚拟平扫能在保证图像质量的前提下降低辐射剂量[7-9]。
本研究表明,在腮腺肿块中,虚拟平扫及常规平扫图像主观质量评分差异无统计学意义(P>0.05),均在4 分以上,两者噪声差异亦无统计学意义(P>0.05),虚拟平扫SNR 稍大于常规平扫(P<0.05),根据既往研究[10],分析可能原因为:①二代双源CT 虚拟平扫头颈部影像学 Head and Neck Imaging • 888 • 中国医学影像学杂志 Chinese Journal of Medical Imaging图像上100 kV 图像融合比例为50%,管电流为300 mAs,具有高管电流、低管电压的特点,使融合的虚拟平扫图像信噪比高于常规平扫。②双能量CT 采用了“D”卷积核用于提高物质特性,降低噪声的同时导致图像模糊的增加,但是这种噪声的降低可能是一种不真实的降低,反而可能造成诊断质量的下降。这与本研究中虚拟平扫SNR 高于常规平扫一致。本研究中,虚拟平扫与常规平扫对病灶检出率、肿块形态及其内有无钙化显示一致,且虚拟平扫中腮腺肿块CT 值大于常规平扫(P<0.05),这可能是双能射线的能谱存在交叉,有微小部分碘成分仍然存在于虚拟平扫图像中未能去除所致[11-13]。
本研究的局限性:①在比较虚拟平扫与常规平扫图像时,选用了动脉期虚拟平扫图像,未进行实质期虚拟平扫图像对比;②未对虚拟平扫及常规平扫显示高、低密度能力进行研究。另外,需加大样本量进一步研究。
总之,在保证图像质量及腮腺肿块定性诊断准确度的前提下,腮腺肿块虚拟平扫能替代常规平扫,从而降低辐射剂量。
参考文献
[1] Sood S, Mcgurk M, Vaz F. Management of salivary glandtumours: United Kingdom national multidisciplinary guidelines. JLaryngol Otol, 2016, 130(S2): S142-S149.
[2] Abdel Razek AA, Samir S, Ashmalla GA. Characterization ofparotid tumors with dynamic susceptibility contrast perfusionweightedmagnetic resonance imaging and diffusion-weightedMR imaging. J Comput Assist Tomogr, 2017, 41(1): 131-136.
[3] Kuan EC, Mallen-St Clair J, St John MA. Evaluation of parotidlesions. Otolaryngol Clin North Am, 2016, 49(2): 313-325.
[4] 王垚青, 顾立军, 戴宇萍, 等. CT 与B 超在腮腺Warthin 瘤诊断中应用的比较. 口腔颌面外科杂志, 2016, 26(3): 190-194.
[5] De Cecco CN, Buffa V, Fedeli S, et al. Dual energy CT (DECT)of the liver: conventional versus virtual unenhanced images.Eur Radiol, 2010, 20(12): 2870-2875.
[6] 邝平定, 张敏鸣, 邵国良, 等. 腮腺腺淋巴瘤的CT 表现.中华放射学杂志, 2009, 43(12): 1324-1326.
[7] Valentin J, International Commission on Radiation Protection.Managing patient dose in multi-detector computed tomography(MDCT). ICRP Publication 102. Ann ICRP, 2007, 37(1):1-79.
[8] 杨亮, 罗德红, 赵燕风, 等. 头颈部肿瘤检查中能谱CT 虚拟平扫替代常规平扫的可行性研究. 中华放射学杂志,2015, 49(8): 572-576.
[9] 张成周, 王萍, 卞佳, 等. 双源CT 尿路成像虚拟平扫在泌尿系统常见肿瘤中的应用研究. 实用放射学杂志, 2016,32(1): 122-125, 129.
[10] Numburi UD, Schoenhagen P, Flamm SD, et al. Feasibility ofdual-energy CT in the arterial phase: imaging afterendovascular aortic repair. Am J Roentgenol, 2010, 195(2):486-493.
[11] Sun H, Hou XY, Xue HD, et al. Dual-source dual-energy CTangiography with virtual non-enhanced images and iodine mapfor active gastrointestinal bleeding: image quality, radiationdose and diagnostic performance. Eur J Radiol, 2015, 84(5):884-891.
[12] 钱玉娥, 胡红杰, 张峭巍, 等. 新双源CT 虚拟平扫技术在肝脏检查中的应用. 中华放射学杂志, 2011, 45(2): 120-123.
[13] 白娇, 钟慧, 刘荣波. 采用双源CT 虚拟平扫技术代替常规平扫行腹膜腔成像的可行性. 中华放射学杂志, 2017, 51(1):33-37.
(本文编辑周立波)